Moderne kreftbehandling er ofte sammensatt av flere behandlingsformer som tilpasses den enkelte pasient og type kreftform. Pasientene som får kreftbehandling vil i mange tilfeller motta en kombinasjon av cellegift, kirurgi, strålebehandling og immunterapi m.m. Strålebehandling gis til nesten halvparten av alle kreftpasienter.Strålebehandling. Kreftforeningenhttps://kreftforeningen.no/om-kreft/behandling/stralebehandling/

Strålebehandlingen gis av en lineærakselerator (linak), se figuren over, som benytter høyenergisk fotonstråling som sentreres mot kreftsvulsten/cellene. Dette gjør at kreftcellene enten dør eller slutter å dele seg.
Behandlingen utføres ved at pasienten ligger på et behandlingsbord mens lineærakseleratoren beveger seg rundt og bestråler fra ulike vinkler. Behandlingssesjonene tar vanligvis noen minutter og gjentas daglig over flere dager, dette kalles fraksjonert behandling.
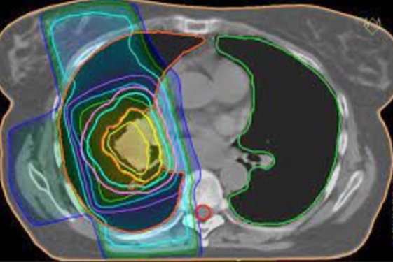
Behandlingen må utføres presist og skånsomt for å unngå skade på friskt vev. Derfor lages det individuelle doseplaner for hver enkelt pasient, se figuren under

Stråleterapi utgjør en viktig del av kreftbehandlingStråleterapi i Norge – fortsatt betydelige ulikheter i tilgang og bruk. Hvorfor?. OnkoNytthttps://onkonytt.no/straleterapi-i-norge-fortsatt-%C2%ADbetydelige-ulikheter-i-tilgang-og-bruk-hvorfor/:
- Kurativ behandling der målet er å gjøre pasienten frisk av sin kreftsykdom
- Supplerende behandling, f.eks. etter operasjon for å minske risiko for tilbakefall av sykdommen
- Lindrende behandling
Denne klassifiseringen er under diskusjon. I Strukturert kreftjournal og Norsk proton og stråleterapi foreslås følgende inndeling:
- Kurativ hensikt
- Ikke kurativ hensikt (herunder lindrende behandling, livsforlengende behandling og lokal kontroll.